1) QUE ES LA POLIQUISTOSIS RENAL PQR
La PQR es una enfermedad o trastorno de los riñones que está causada por un defecto genético hereditario, que se transmite de padres a hijos, la pueden tener algunos hijos y otro no, en la que se forman sacos llenos de agua (quistes) en los riñones, aumentan de tamaño y su tejido funcional disminuye. Tiene 2 formas hereditarias la autosómica dominante y autosómica recesiva.
Back to top2) CAUSAS
Se desconoce los factores desencadenantes de la PQR, está relaciona con las siguientes afecciones:
- Aneurismas aórticos
- Aneurismas cerebrales
- Quistes en el hígado, el páncreas y los testículos
- Divertículos del colon
La 50% de las personas con PQR tienen quistes en el hígado.
Back to top3) SÍNTOMAS
En algunas personas los síntomas son tan leves que no los perciben y no se dan cuenta que padecen la enfermedad, sin embargo en otras personas manifiestan tener dolor en el costado, sangre en la orina, hipertensión arterial y dolor de tipo cólico provocado por los cálculos renales.
Algunos de los síntomas de la PQR:
- Sensibilidad o dolor abdominal
- Sangre en la orina
- Micción excesiva durante la noche
- Dolor de costado en uno o ambos lados
- Somnolencia
- Dolor articular
- Anomalías en las uñas
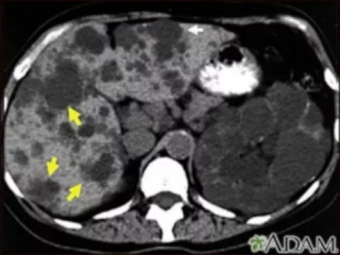
4) PRUEBAS Y EXÁMENES
El diagnóstico de esta enfermedad puede realizarse fácilmente mediante pruebas radiológicas, como la ecografía.
Un examen puede mostrar:
- Sensibilidad abdominal sobre el hígado
- Hepatomegalia
- Soplos cardíacos u otros signos de insuficiencia aórtica o insuficiencia mitral
- Hipertensión arterial
- Masas renales o abdominales
Los exámenes que se pueden realizar incluyen:
- Angiografía cerebral
- Hemograma sanguíneo completo para buscar anemia
- Pruebas hepáticas (sangre)
- Análisis de orina
Si hay antecedentes personales o familiares de PQR y se padecen dolores de cabeza hay que examinar si los aneurismas cerebrales son la causa.
La pruebas para detectar la PQR y los quistes en el hígado u otros órganos:
- TC abdominal
- Resonancia magnética abdominal
- Ecografía abdominal
- Pielografia intravenosa (PIV)
Si varios miembros de su familia tienen PQR, las pruebas genéticas pueden determinar quienes son portadores del gen causante de la enfermedad.
Back to top5) TRATAMIENTO
Controlar los síntomas, evitar agravamientos de las manifestaciones y tratamientos preventivos, esto pueden ser:
- Medicamentos para la presión arterial
- Diuréticos
- Dieta baja en sal
Las infecciones urinarias debe tratarse con antibióticos.
El dolor puede ser causado por circunstancias que requieran una intervención quirúrgica (infecciones, cálculos o tumores), descartada esta causa el dolor puede ser tratado, como primera elección analgésicos no opiáceos, estos han de reservarse para episodios agudos, han de limitarse la administración a largo plazo por nefrotóxicidad, ademas de producir dependencia física y psicológica.
Los antidepresivos tricíclicos y las intervenciones poco invasivas, como el bloqueo del nervio esplácnico con anestésicos locales o esteroides, también pueden ser útiles en el tratamiento del dolor crónico.
La aspiración de quistes de gran tamaño guiada por ecografía o TC, puede ser una opción.
El drenaje de los quistes es una técnica para aliviar el dolor. En caso de múltiples quistes, la fenestración laparoscópica o quirúrgica a través de una lumbotomía, la denervación laparoscópica o una simpaticosplanicectomía toracoscópica.
En algunos casos se ha de practicar la extirpación de uno o ambos riñones, lo que sería necesaria la diálisis o trasplante de riñón.
Back to top6) GRUPOS DE APOYO
Puede buscar asociaciones de enfermos renales, grupos de apoyo, para encontrar apoyo entre iguales o con asistentes sociales. Puede encontrar asociaciones en nuestra sección:
Back to top7) EXPECTATIVAS (PRONÓSTICO)
La enfermedad en un principio no tiene síntomas, la enfermedad puede empeorar lentamente, puede ocasionar insuficiencia renal terminal. También está asociada con enfermedad hepática, lo que incluye infección de quistes en el hígado.
El tratamiento puede brindar alivio a los síntomas por muchos años. Los afectados por PQR pueden ser candidatos para el trasplante de riñón.
Back to top8) POSIBLES COMPLICACIONES
Algunos de las complicaciones que puede presentarse en la PQR:
- Anemia
- Sangrado o ruptura de quistes
- Infección renal prolongada (crónica)
- Enfermedad renal terminal
- Hipertensión arterial
- Infección de los quistes del hígado
- Cálculos en el riñón
- Insuficiencia hepática (de leve a grave)
- Infección urinaria repetida
9) CUÁNDO ACUDIR AL MÉDICO
Llame a su médico si:
- Sensibilidad o dolor abdominal
- Sangre en la orina
- Micción excesiva durante la noche
- Dolor de costado en uno o ambos lados
- Somnolencia
- Dolor articular
- Anomalías en las uñas
- Tiene antecedentes familiares de PQR o trastornos relacionados y está planeando tener hijos (es posible que usted quiera recibir asesoría genética).
10) PREVENCIÓN
Desafortunadamente hoy no hay ningún tratamiento que vite su formación o agrandamiento de los quistes.
Autor: Enrique M
Back to top