Consultorio
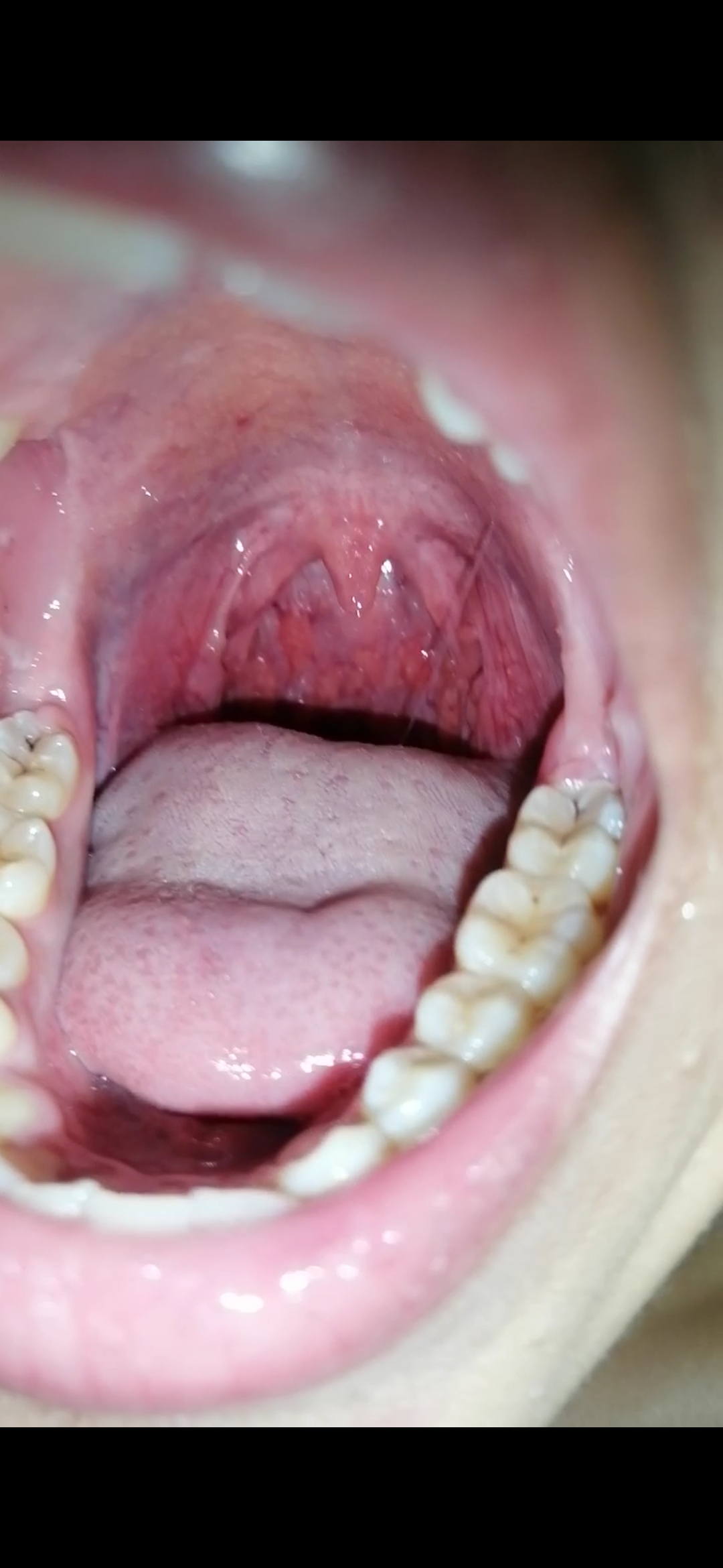
Hola asesor Enrique M ...comenze a salir con un chico y ya después tuvimos relaciones, a los días me salieron como bultos en mi garganta amarillentos con bolas rojas en la lengua con tos y gripe, fui al medico me vio la garganta pero no me dijo nada, tengo 17 necesito saber si podría ser VIH, alguna ETS o otra infección menor
Descargar archivos
- Inicie sesión o registrese para enviar comentarios

Respuesta
Estimado amigo David2004020
Lea la página ver las formas de transmisión de las ITS y luego si es necesario consulte con su médico para las pruebas o análisis si fueran necesarios.
Esperamos haberte sido de ayuda, estamos a tu disposición para cualquier otra cuestión que quieras realizar, un abrazo
El presidente de la Asociación Mundo Positivo & asesor del Consultorio TodoSida Enrique M
Colabora para mantener este servicio a la comunidad, si te parece útil el trabajo realizado, puedes hacer un donativo por PayPal, opción con tarjeta de crédito o débito, no necesitas abrir cuenta en PayPal, puedes donar 3 euros.